维视阅互联网医院 2024-06-14 16:26 浙江
本文病例为维视阅互联网医院真实检查案例。

患儿女,足月出生,出生体重3100g,因高度远视、视物不清而就诊。
ENFACAM眼科广域成像系统检查结果提示:双眼底黄斑区卵黄样病变,为卵黄样黄斑营养不良。
卵黄样黄斑营养不良在1905 年由德国眼科专家Friedrich Best 首次描述,因此又名Best病,病变主要影响黄斑区,眼底检查可见异常,典型表现为幼年期黄斑卵黄状病损,至晚期可形成瘢痕和萎缩。
Best病一般认为是常染色体显性遗传疾病,绝大多数由BEST1 基因突变引起,常有明显家族史,也有常染色体隐性遗传和散发病例的报告。

Best病患者以视力下降为主要表现,常有轻至重度远视,也可伴有畏光、视物变形、夜盲等症状。Best病发病年龄因个体而异,一般认为本病多发生于5~15岁(平均 6 岁)的幼儿及少年,最年轻的患儿见于生后一周的婴儿。发病早期视力正常,可多年稳定于0.4-0.6,直至卵黄病灶内出血或破碎,可导致突发性视力显著下降。
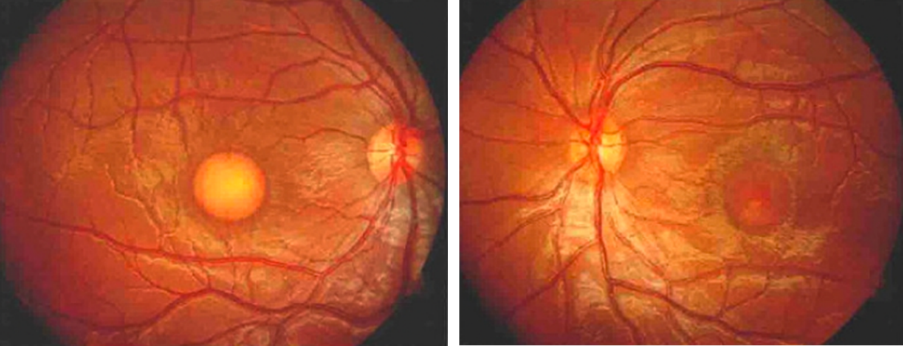
Best病根据病情进展可分为4个阶段:
(1)卵黄病变前期:中心凹处可见黄色小点,似微小蜂窝状结构。
(2)卵黄病变期:黄斑区典型卵黄样病损,形态类似煎鸡蛋时中央的蛋黄。
(3)卵黄破碎期:黄斑区呈“假性前房积脓样”外观,似蛋黄打碎的形状,病变可有液平面。
(4)萎缩期:病变吸收,在黄斑区形成脉络膜视网膜萎缩灶,可见新生血管的纤维瘢痕及色素增生形成。

左图:卵黄病变期;右图:卵黄破碎期(来源:Ophthalmology in English公众号)
诊断:Best病的诊断并不困难,可以通过眼底表现、眼电图(EOG)、眼底自发荧光(FAF)和光学相干断层扫描(OCT)及基因突变分析等多种检查方法进行诊断。
治疗:卵黄样黄斑营养不良并发脉络膜新生血管时,需要进行抗VEGF治疗;对伴有屈光不正的患儿进行视力矫正;未来,基因治疗可能是一种有效的治愈方法。
参考资料:刘婧姝,张勇进.Best卵黄样黄斑营养不良临床特点及BEST1基因突变研究进展[J].国际眼科杂志,2015,15(04):621-624.


